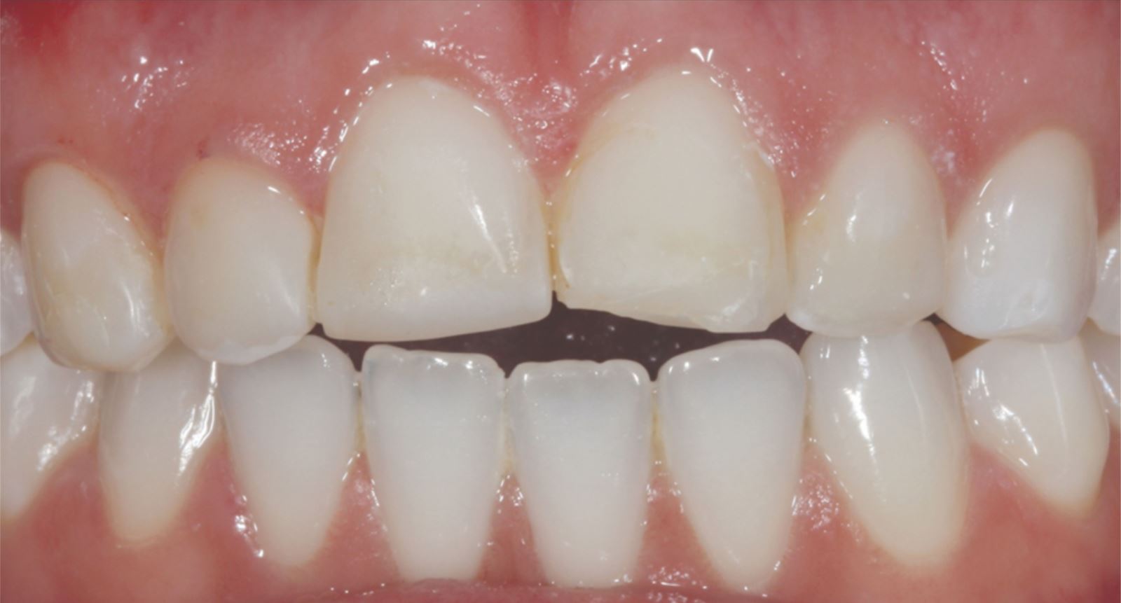
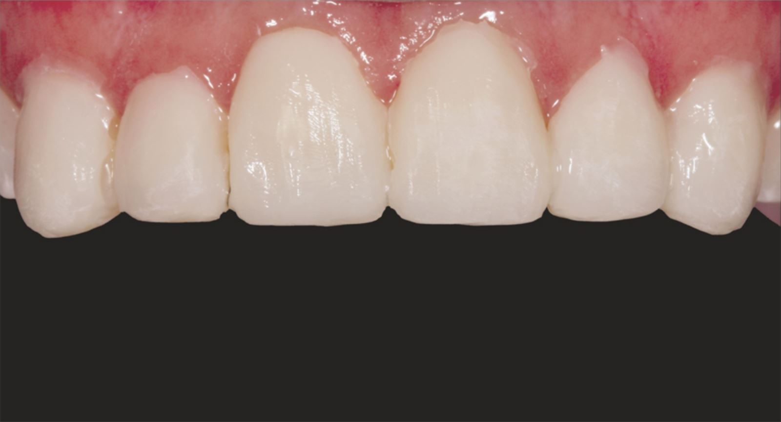
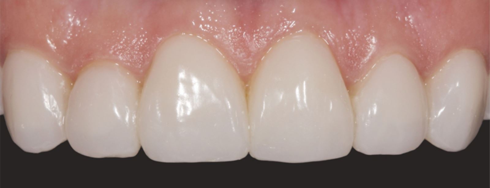
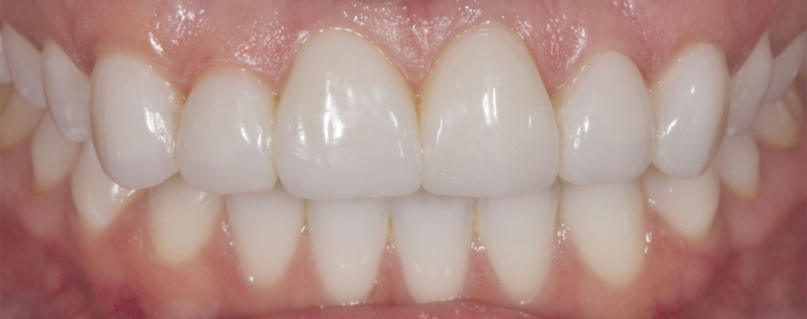
Mladá žena vo veku okolo 20 rokov, ktorú trápila diskolorácia horných frontálnych zubov po skoršej traume, vyhľadala ošetrenie u Dr. Jaleeny Fischer-Jessop, DDS, MBA. Hľadala riešenie, ktoré by obnovilo jej úsmev. Pacientka bola ošetrená konzervatívnou a cenovo dostupnou metódou: kompozitnými fazetami bez preparácie, priamym bondingom. Dr. Fischer-Jessop zvolila tento postup na prekrytie diskolorácie a zjednotenia horných zubov s dolnými frontálnymi – bez nutnosti invazívnejších výkonov, ako sú implantáty, alebo nákladných laboratórne zhotovovaných faziet. Na zosvetlenie zubov boli vybrané odtiene B1D a Enamel White (EW) a odtieň Universal Body (UB) kompozitu Transcend™ bol použitý na prirodzené splynutie okraja v cervikálnych oblastiach.
Analýza prípadu a postup krok za krokom

Anamnéza pacientky:
Pacientka v 20 rokoch s anamnézou traumy horných frontálnych zubov. Napriek tomu, že trauma prebehla, zuby zostali stabilné, takže implantáty neboli nutné.

Estetické predstavy a finančná situácia:
Pacientka mala výrazné estetické obavy a súčasne bola finančne limitovaná. S ohľadom na tieto okolnosti boli zvolené kompozitné fazety bez preparácie ako vhodné riešenie.

Aplikácia kompozitu:
Kompozit Transcend v odtieni B1D bol aplikovaný od dvoch tretín výšky korunky od incisálnej hrany smerom k cervikálnej oblasti, kde sa postupne stenčoval. Odtieň Universal Body (UB) bol nanesený v cervikálnom tretine, záverečné vrstvy tvoril Enamel White (EW) a malé množstvo UB v marginálnej oblasti pre prirodzené splynutie.

Oddelenie faziet:
Na precízne oddelenie faziet bola použitá skalpelová čepelka #12 a separačná pílka.

Zloženie kompozitných faziet:
Kompozitné fazety boli zložené.

Kontúrovanie okrajov:
Na dotvarovanie okrajov bola použitá jemná diamantová brúska typu mosquito needle.

Leštenie a príprava na cementáciu:
Fazety boli kontúrované a vyleštené pomocou leštiacej sady Jiffy™ Natural, čím boli pripravené na cementáciu.

Úprava vnútorného povrchu:
Vnútorný povrch fazety bol pieskovaný. Alternatívne je možné pre tento krok použiť 35% kyselinu fosforečnú Ultra-Etch™.

Nanesenie adhezíva:
Vnútorný povrch fazety bol potiahnutý adhezívom Peak™ Universal Bond.

Stenčenie a polymerizácia adhezíva:
Adhezívum bolo stenčené prúdom vzduchu a následne polymerizované svetlom VALO™ X po dobu troch sekúnd v režime Xtra Power.

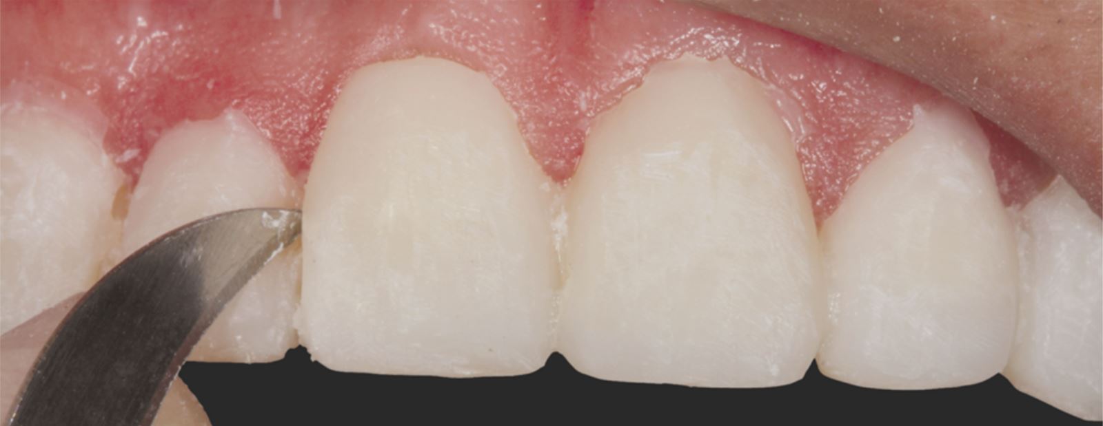
Príprava sulku:
Do gingiválneho sulku boli vložené pletené retrakčné vlákna Ultrapak™ veľkosti #0 na prípravu na leptanie.

Leptanie nepreparovanej skloviny:
Nepreparovaná sklovina bola leptaná 35% kyselinou fosforečnou Ultra-Etch po dobu 30 sekúnd.

Aplikácia a stenčenie adhezíva:
Adhezívum Peak Universal Bond bolo aplikované a stenčené vzduchom so súčasným odsávaním.

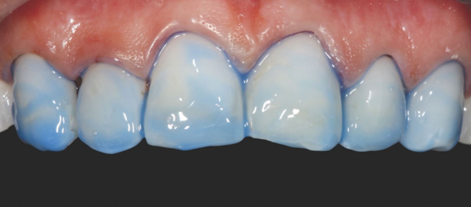
Cementácia:
Fazety boli cementované pomocou živicového cementu PermaShade™ LC v odtieni Translucent (nie je dostupný v Európe).

Výsledok cementácie:
Finálna cementácia viedla k stabilnému a esteticky prijateľnému uloženiu faziet.

Modelácia anatómie faziet
Na modeláciu anatómie faziet bola použitá diamantová brúska v tvare lopty na rugby a dlhý tenký diamantový brúsok. Na vytvorenie línií Retzia (SR lines) bola použitá lobulárna diamantová brúska (segmentovaný, „laločnatý“ tvar). Počiatočné leštenie prebehlo s Jiffy™ Natural, finálny lesk bol dosiahnutý prípravkom Ultradent Diamond Polish Mint a Jiffy Goat Hair Brush (nie je dostupný v Európe), aby nedošlo k odstráneniu terciárnej anatómie.
Výsledok a záverečné zhodnotenie
Tento postup úspešne vyriešil estetické obavy pacientky prekrytím diskolorácie horných frontálnych zubov a dosiahnutím prirodzeného, vyváženého vzhľadu vo vzťahu k dolným frontom. Použitie kompozitných faziet bez preparácie poskytlo konzervatívne, vysoko efektívne riešenie, ktoré rešpektovalo finančné možnosti pacientky a jej požiadavku na minimálne invazívny prístup.
O autorke ošetrenia:
Dr. Jaleena Fischer-Jessop, DDS, MBA
Dr. Fischer-Jessop absolvovala v roku 2002 Stomatologickú fakultu Loma Linda University School of Dentistry s vyznamenaním v odbore orálnej chirurgie. Neskôr dokončila dvojročnú certifikáciu prostredníctvom American Orthodontics Society.
Dr. Fischer-Jessop pôsobila dva roky v predstavenstve Utah Dental Association. V súčasnosti je členkou National Advisory Board a od roku 2014 je externý vyučujúci na University of Utah Dental School. V roku 2023 získala titul MBA na Eccles School of Business na University of Utah. Dr. Fischer-Jessop prevádzkuje vlastnú stomatologickú prax, kde už 22 rokov pracuje so zameraním na estetickú a minimálne invazívnu stomatológiu. Je 31 rokov vydatá za Neila Jessopa a majú dve dcéry, Kaziu a Cambri Jessop.