• Blog
  • Travel
  • Vzdelávanie
  • Absolventi
  • O nás
  • Kontakty
  • Obľúbené
  • Registrujte sa
  • Prihlásiť
Hu-Fa Dental
  • Ordinácia
  • Laboratórium
  • Akčné letáky
  • Katalógy
0

Váš nákupný košík je prázdny.

Menu

Akcia

Novinky

Výpredaj

Laboratórium, Zub. technika

Zhotovenie modelov

Sádry

II. trieda

III. trieda

IV. trieda

Skenovacie

Úprava sádrových modelov

Vodiace čapy

Kyvety, strmene a pomôcky

Okludory a artikulátory

Dublovanie

Individuálne lyžice

Príslušenstvo

Príslušenstvo

Prístroje

Delené modely

Gingiválne masky

Prístroje

Súpravy

Stoličky

Vibrátory

Vypaľovacie pece

Amalgamátory

Scalery

Osvetlenie

Keramická pec

Kompresory

Ultrazvukové čističky

Separátory amalgámu

Ostatné

Autoklávy

Vosková modelácia

Modelovacie živice

Izolačné prostiredky

Lepiace vosky

Modelovacie vosky

Fóliové vosky

Zhryzové vosky

Voskové drôty

Kahany a horáky

Voskové predtvary

Elektronická modelácia

Kapničkovače a nahrievače

Modelovacie nože

Modelovacie nástroje

Ošetrenie modelov

Inlejový vosk

Frézovací vosk

Platničkové vosky

Elektronický nahrievač

CAD/CAM

Cerec

Skenovanie

Materiály pre CAD/CAM

Sintrovacie pece

Zatmeľovanie

Zatmeľovacie hmoty

Liace krúžky

Delené

Bezšvové

Liace kelímky

kliešte

Drôty

Retencia

Prístroje

Vákuové miešačky

Liace prístroje

Ostatné

Digitálne váhy

Kladiva

Rezačka

Zvarovacie prístroje

Vibrátor

Vložka

Kovy

...na skelety

...pre kovokeramiku

...na korunky, mostíky

Drahokovové

so zlatom

so striebrom

s paládiom

Pájky, pasty, tavidla

striebro-paládiová

Prístroje

Pieskovanie

Pieskovače

Odsávanie

Piesky

Fazetovanie

Keramika

Vita

Vita Omega 900

klasická VITA

3D-Master

VMK 95

Akzent

Vision

Klasická VITA

Esthetic

Performence Plus

Nástroje a príslušenstvo

Keramické doštičky

Štetce

C+B Živice

Gradia

Chromasit

Superpont

Duropont

Príslušenstvo

Miešacie kalíšky

Vzorkovníky

Prístroje

Snímacie náhrady

Živice

Príslušenstvo

Prístroje

Pomôcky

Rebazie

Zásuvný spoj

Zosiľovacia mriežka

Izolačné prostriedky

Pomôcky

Opracovanie

Mikromotory

Frézy

Diamanty

Keramický kameň

Mikromotory

Karborundové brúsky

Rezacie disky

Leštice gumy

Leštiace kotúče a pomôcky

Leštiace pasty

Prístroje

Sintrované diamanty

Vrtáčiky

Vakuové tvarovanie

Prístroje

Fólie

Zásuvné spoje

Ordinácia

Odltačkovanie

Algináty

Silikóny

C-Silikóny (Kondenzačné)

A-Silikony (Aditívne)

Vinyl polysiloxane

Polyéterové hmoty

Funkčné odtlačky

Registrácia zhryzu

Odtlačkovacie lyžice

Kovové

Plastové

Adhezíva na lyžice

Pomôcky na odtlačkovanie

Retrakčné prostriedky

Hemostatika

Aplikačné systémy

Príslušenstvo na odltačkovanie

Nože na odtlačky

Prístroje na miešanie

Dezinfekcia na odtlačky

Výplne

Amalgámy

Tabletové amalgámy

Kapsľové amalgámy

Aplikačné pomôcky

Opracovanie amalgámu

Trepačky, Miešačky

Kompozita, Kompomery

Svetlom tuhnúce kompozita

Striekačky

Kompule

Flow kompozita

Bulk-Fill

Chemicky tuhnúce kompozita

Duálne tuhnúce kompozita

Kompomery

Leptacie a bondov. materiály

Leptanie dentinu a skloviny

Bondovacie systémy

Jednozlložkové

Viaczložkové

Výplňové cementy

Skloionomerné výplňové cementy

Kondicionéry

Ochranné laky

Fixačné cementy

Skloionomerné fixačné cementy

Kompozitné fixačné materiály

Fosfátové cementy

Provizórne fixačné cementy

Podložkové materiály

Skloionomérne podložky

Kalcium-hydroxidové preparáty

Karboxylátové cementy

Ostatné

Provizórne výplne

Pečatidla fisúr

Matricové systémy

Matricové systémy

Kovové matrice

Páskové

Tvarované

Transparenté matrice

Páskové

Tvarované

Napínače matríc

Interdentálne klínky

Drevené

Plastové

Leštenie výplní

Rotačné leštiace nástroje

Brusné a leštiace pásky

Polyesterové

Kovové

Leštiace disky

Brusné a leštiace pasty

Príslušenstvo pre výplne

Chladiace spreje

Indikátory kazu

Artikulačné pomôcky

Artikulačné papiere

Artikulačné fólie

Spreje

Ostatné

Aplikátory, Miešacie pomôcky

Aplikačné štetčeky, kanyly

Aplikačné systémy

Miešacie pomôcky

Ostatné

Kompozitné fazety

Materiály na opravy

Parapulpálne čapy

Ostatné

Endodoncia

Endo nástroje

Nástroje na kavitu

Diamantové nástroje

Tvrdokovové nástroje

Ultrazvukové nástroje

Koreňové nástroje

Extirpačné ihly

Rozširovače

Prenikače (K-Reamer)

Pilníky (K-File)

Preťahováčik Hedström (H-File)

Plniče

Ostatné koreňové nástroje

Boxy na koreňové nástroje

NiTi koreňové nástroje

NiTi na iniciál spriechodnenie

NiTi ručné

NiTi rotačné systémy

NiTi reciprokačné systémy

NiTi na reendodonciu

Ultrazvukové

Ostatné

Papierové čapy

K NiTi systémom

Gutaperčové čapy

Konicita .02

Konicita .04

Konicita .06

Ostatné

Výplachy

NaOCI chlornan sodný

EDTA

EDTA tekutina

EDTA gel

Chlorhexidin

CHX tekutina

CHX gel

Citric Acid

Alkohol k vysušeniu k.k.

Výplachové striekačky

Výplachové kanyly

Rovné tupé

S bočným otvorom

Zkosené tupé

Navitip

Plastové

Výplachové systémy

Aplikátory

Systémy

Aktivácia na výplachy

Stojany na výplachy

Koreňové výplňové materiály

Provizórne

Definitívne

MTA biosealery

Epoxidamin

S hydroxidom vápenatým

Zink-oxid-eugenol

Silikon - UDMA

Preparáty na endodonciu

Prístroje

Apexlokátory

Motory

Obturácia

Ultrazvuk

Ostatné

Koreňové čapy

Kovové čapy

Titanové čapy

Pozlátené čapy

Čapy zo sklených vlákien

Ostatné

Kofferdam

Sady

Spony

Spony na frontálne zuby

Spony na premoláry

Spony na moláry

Spony s vrubkovanými čeľusťami

Spony na retrakciu gingivy

Spony čierne matné

Spony detské

Spony špeciálne

Spony plastové

Podložky na spony

Kliešte

Dierovacie kliešte

Kliešte na spony

Rámiky

Kovové

Plastové

Šablóny

Šablóny

Razítka

Obrúsky pod kofferdam

Stabilizačné vlákna

Príslušenstvo

Blany

Latexové blany

Bezlatatexové

S rámčekom

Ostatné

Provizória a rebázia

Podkladanie a rebázia

Dlohodobé

Krátkodobé

Provizória K+B

Provizórne korunky

Materiály na provizória

Röntgenológia

RTG Filmy

Intraorálne

Extraorálne

Chemikálie

Strojové

Ručné

Príslušenstvo

Držiaky RTG snímkov

Držiaky RVG senzorov

Púzdra, popisovače

Ostatné

Intraorálne RTG

Rádioviziografia

Diagnostické systémy

Vyvolávače

Anestézia a Chirurgia

Chirurgia

Šitie

Vstrebateĺné

Nevstrebateľné

Šicie ihly

Tkanivové lepidlá

Náhrada kosti

Dlahovanie

Chirurgické savky, rúšky

Elektrokautery

Chirurgické motory a násadce

Pomôcky, chir.nástroje

Bielenie zubov

Domáce

Ordinačné

Príslušenstvo

Profylaxia

Ochrana dentínu, fluoridácia

Ochrana dentínu

Fluoridácia

Profesionálne čistenie

Čistiace a leštiace prášky

Čistiace a leštiace pasty

Čistiace a leštiace nástroje

Ostatné

Prevencia

Diagnostika plaku

Xylitol

Ostatné

Zubné kefky

Elektrické zubné kefky

Ručné kefky

Čištenie medzizub. priestorov

Medzizubné kefky

Zubné vlákna, špáratka

Zubné pasty, ústne vody

Zubné pasty

Ústne vody

Ostatné

Zubné ozdoby

Výučbové pomôcky

Roztvárače úst

Ostatné

Ortodoncia

Brekety

Priame bondované tubusy

Fixačné materiály

Cementy na brekety

Cementy na krúžky

Krúžky

Zámky ku krúžkom

Tvárové drôty

Elastické výrobky

Gumičky

Tvárové oblúky

Modely

Špeciálne nástroje

Ostatné

Knihy

Sklenené piliere ZX-27

Motivácia hygieny pacientov

Chrániče

Krabičky

Zubné kefky

Nástroje a pomôcky

Drôty

Snímacie kliešte

Laboratórium

Ochrana mäkkých tkanív

Tubusy

Ligatúry

Retiazky

Dezinfekcia

Dezinfekcia

Ruky

Umývanie rúk

Dezinfekcia rúk

Starostlivosť o pokožku

Nástroje

Ručné nástroje

Rotačné nástroje

Povrchy

Dezinfekcia postrekom

Plošná dezinfekcia

Dezinfekčné obrúsky

Odsávanie

Odtlačkové lyžice

Ostatné

Príslušenstvo

Dezinfekčné vane

Dávkovacie zariadenia

Ostatné

Sterilizácia

Teplovzdušná sterilizácia

Sáčky a kazety

Testy

Sterilizátor

Parná sterilizácia

Sáčky a kazety

Testy

Sterilizátor

Zváračky obalov

Príslušenstvo

Tácky a kazety

Ostatné

Hygiena

Ochranné pomôcky

Rukavice

Vyšetrovacie

Latexové

Nitrilové

Vinilové rukavice

Chirurgické rukavice

Masky

Čiapky, plášte

Masky pre pacientov

Ochranné štíty, okuliare

Ostatné

Hygiena

Savky

Kelímky

Papierové utierky a kapesníky

Výrobky z vaty a gázy

Vata buničitá, obväzová

Vatové válčeky, guličky

Gáza, tampóny z gázy

Ostatné

Ručné nástroje

Vyšetrovacie nástroje

Pátradla

Zrkadielka, držadielka

Ihelce, pinzety

Modelovacie nástroje

Cpátka

Hladítka

Carvery, modelovacie nástroje

Parodontologické nástroje

Parodontologické sondy

Kyrety

Scalery na zubný kameň

Ostatné

Chirurgické nástroje

Nožničky

Kliešte extrakčné

Extrakčné nástroje

Skalpely

Chirurgické pinzety

Ihelce, svorky, peány

Háky (retraktory)

Raspatoria

Ostatné

Snímače koruniek

Ostatné nástroje

Exkavátory

Lyžice

Lopatky na cement

Nosiče amalgámu

Luxátory

Ostatné

Rotačné nástroje

Tvrdokovové vrtáčiky

FG (do turbínky)

RA (do kolienka)

HP (do násadca)

Oceľové vrtáčiky

Diamantové brúsky

FG (do turbínky)

RA (do kolienka)

HP (do násadca)

Rozrezávače koruniek

Ostatné

Špeciálne vrtáčiky

Lupové okuliare

TTL (na mieru zákazníka)

Galilejské

2.0x zväčšenie

2.5x zväčšenie

Prizmatické

3.5x zväčšenie

Quic L. Okuliare

Flip-Up (Universal)

Galilejské

2.5x zväčšenie

3.0x zväčšenie

Prizmatické

4.0x zväčšenie

3.5x zväčšenie

3.5x zväčšenie

5.0x zväčšenie

4.5x zväčšenie

6.0x zväčšenie

Osvetlenie

Ostatné

Prístroje

Amalgamátory a miešačky kapslí

Miešacie prístr. na odt. hmoty

Miešacie prístroje

Príslušenstvo a náhradné diely

Polymeračné lampy

LED lampy

Náhradné diely

Žiarovky

Batérie, svetlovody

Ostatné príslušenstvo

Vybavenie ordinácie

Nábytok

Stoličky

Osvetlenie

Imaging

Intraorálne RTG

Intraorálne RTG zobrazenie

Priama digitalizácia

Nepriama digitalizácia

Panoramatické prístroje

Intraorálne kamery

Vyvolávacie prístroje

Ostatné

Turbínky

Svetelné

Nesvetelné

Hlavičky

Rýchlospojky

Svetelné

Nesvetelné

Násadce a mikromotory

Rovné násadce

Světelné

Nesvětelné

Kolienka

Svetelné

Nesvetelné

Mikromotory

Násadce a prístroje pre chirur

Násadce

Prístroje

Ultrazvukové prístroje

Prístroje

Koncovky

Parodontológia

Protetika

Endodoncia

Chirurgia

Sady

Ostatné

Pieskovače

Prístroje

Príslušenstvo

Sterilizácia a hygiena

Autoklávy, príslušenstvo

Horkovzdušné sterilizátory

Destilačné prístroje

Demineralizátory

Zváračky obalov

Ostatné

Ošetrovanie nástrojov

Zubné súpravy

Ostatné

Mikroskopy

Odsávanie

Kompresory

Odlučovače

Ostatné

Rôzne

Kazety, tácky, stojany

Kahany a horáky

Tlačoviny

Hračky a odmeny pre deti

Ostatné

CAD / CAM

Prístroje

Frézovacie bloky

Implantológia

Dlhá životnosť je bez pochýb jednou zo základných vlastností každej výplne. Napriek tomu sa v bežnej praxi môže zdať ako niečo, čo nie je vždy ľahké dosiahnuť. Tento článok predstavuje klinický prípad uzatvárania diastematu z roku 2011 a ukazuje, ako môže správne zvolená transiluminácia a leštenie prispieť k dlhodobému zachovaniu výplne.

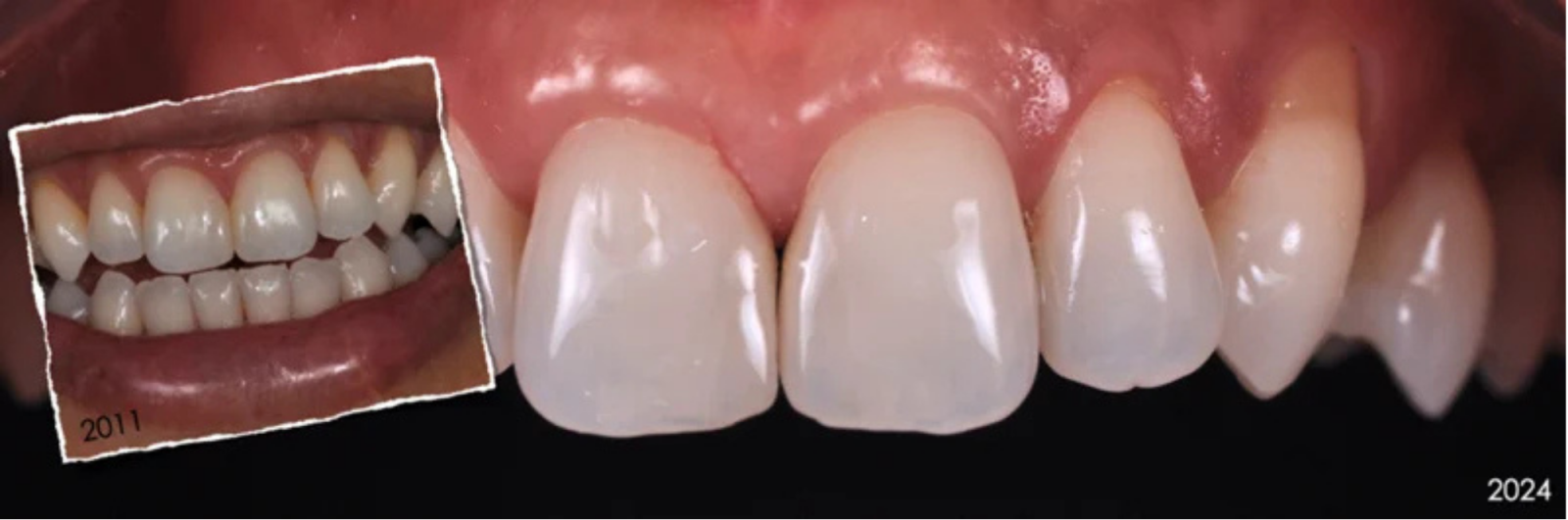
Pred štrnástimi rokmi prišla do mojej ordinácie 35-ročná pacientka, ktorá nebola spokojná so svojou diastemou (obr. 1). Po štandardných krokoch adhezívneho ošetrenia som použil vrstvenú techniku ​​a zhotovil kompozitnú rekonštrukciu na uzáver diastematu v štyroch rôznych odtieňoch. Následne som vykonal polymerizáciu pomocou prvej generácie polymerizačnej lampy VALO™ LED, ktorá mi odvtedy spoľahlivo zaisťuje dobre vytvrdené rekonštrukcie. Výsledok pôsobil veľmi prirodzene a harmonicky zapadol do úsmevu pacientky (obr. 2).


Obr. 1 a 2: Uzavretie diastematu v roku 2011

V roku 2024, po niekoľkých kontrolných návštevách v priebehu rokov, ktorých bolo menej, než by bolo vhodné, som mal pocit, že prípad si vyžaduje dôkladnejšie klinické prehodnotenie. Pri vstupnom vizuálnom vyšetrení som zaznamenal niekoľko prasklín v sklovine, čo je u 48-ročnej pacientky bežný nález (obr. 3). Zároveň som však získal dojem, že medzi jednotlivými vrstvami kompozitu mohlo dôjsť k mikronetesnosti, najmä pri rekonštrukcii zuba 11.


Obr. 3: Klinický stav po 13 rokoch

V takejto situácii je vhodné doplniť vyšetrenie o transilumináciu, pretože samotná vizuálna kontrola má svoje limity. V mojom prípade som znovu siahol po rade polymerizačných lámp VALO. Po 13 rokoch teraz pracujem s treťou generáciou pôvodnej lampy VALO LED, teda s modelom VALO X. Táto nová lampa neponúka len svetelné režimy pre bežný polymerizačný protokol, ale aj diagnostické režimy s čiernym a bielym svetlom a navyše aj užitočné diagnostické šošovky.

Pre presnejšiu diagnostiku som sa rozhodol postupovať podľa konkrétneho transiluminačného protokolu. Najprv som na lampu VALO X nasadil difúznu šošovku a použil diagnostický mód s čiernym svetlom. Tento režim pomáha odhaliť fluorescenčné častice v kompozite a zároveň uľahčuje odlíšenie kompozitu od prirodzenej skloviny. Pri zube 11 bolo zreteľne viditeľné tmavé sfarbenie v línii oblasti kompozitnej výplne, čo potvrdilo moje pôvodné podozrenie, že sa medzi vrstvami rôznych odtieňov kompozitu niečo nachádza (obr. 4 a 5).



Obr. 4 a 5: Zobrazenie v diagnostickom svetelnom režime

 

Potom som prešiel na transiluminačnú šošovku, ktorá pomocou oranžového svetla uľahčuje a zvýrazňuje zobrazenie možných prasklín skloviny, tmavých škvŕn alebo ďalších defektov (obr. 6 a 7).



Obr. 6 a 7: Zobrazenie s transilluminačnou šošovkou

Nakoniec som použil interproximálnu šošovku, ktorá umožňuje nasmerovať vyvážené biele svetlo medzi zuby z rôznych uhlov, a tým ešte lepšie zobraziť praskliny v sklovine. Tento krok potvrdil, že tmavé škvrny zostávajú na rovnakom mieste bez ohľadu na uhol dopadu svetla (obr. 8 a 9). To naznačovalo, že ide skôr o povrchový nález.



Obr. 8 a 9: Zobrazenie s interproximálnou šošovkou

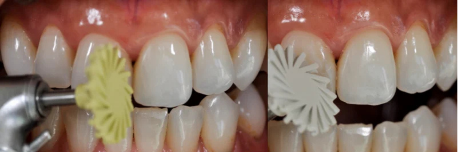
Použitie čierneho, oranžového a bieleho svetla z rôznych uhlov mi poskytlo veľmi presný obraz situácie a lepší odhad aj istotu pri interpretácii jednotlivých nálezov. Vzhľadom na to, že klinické vyšetrenie ukazovalo na povrchový charakter sfarbenia, zvolil som opracovanie pomocou tvarovacieho a dokončovacieho disku Jiffy™ Spin, po ktorom nasledovalo leštenie špirálovým leštiacim diskom na kompozite Jiffy™ Natural na dosiahnutie vysokého lesku (obr. 10).


Obr. 10: Leštenie systémom Jiffy

Na záver ošetrenia som použil diamantovú pastu Ultradent™, ktorá zaistila veľmi kvalitné estetické dokončenie povrchu (obr. 11).

Aj v tejto dobe rad lekárov stále ešte nepracuje so špecializovaným prístrojom pre diagnostiku a transilumináciu. V niektorých prípadoch sa používa napríklad svetlo z turbínky. Tento prípad ale veľmi názorne ukázal, že jedným z kľúčov k dlhodobému zachovaniu výplní, a tým aj k spokojným a lojálnym pacientom, je správna diagnostika (obr. 12). Rada polymerizačných lámp VALO nielen zaisťuje spoľahlivú polymerizáciu kompozitov, čo je zrejmé aj po rokoch používania, ale zároveň ponúka veľmi dobré diagnostické možnosti pri transiluminácii.



Obr. 11 a 12: Výsledok v roku 2024

Podľa môjho názoru je pozoruhodné, ako sa lampa VALO počas rokov posunula od spoľahlivej polymerizačnej lampy k dnešnému modelu VALO X, ktorý kombinuje polymerizačné aj diagnostické režimy. V každodennej praxi mi výrazne pomáha dosahovať kvalitné a trvanlivejšie rekonštrukcie. Preto by som každému kolegovi odporučil jediné: ak chcete, aby Vaše kompozitné výplne vydržali dlhšie, vpustite do svojej diagnostiky viac svetla.

 


O autorovi

Dr. Rafael S. Beolchi

Vyštudoval stomatológiu na University of Sao Paulo (hodnotená ako 12. najlepšia na svete) v roku 2000. Od roku 2001 prevádzkuje súkromnú prax, venuje sa prevažne estetickej a záchovnej stomatológii. V roku 2009 získal magisterský titul z biomateriálov na Ústave energetického a jadrového výskumu na tej istej univerzite.

Vyučuje po celom svete so zameraním na pokročilú manipuláciu s dentálnymi materiálmi. Kladie dôraz na jednoduché postupy krok za krokom, čím zjednodušuje prácu. Venuje sa prednáškovej činnosti a vedie workshopy zamerané na témy záchovnej stomatológie v Severnej, Strednej a Južnej Amerike, Európe, Afrike a Ázii. Bol rečníkom vo viac ako 60 krajinách.

Dr. Beolchi v súčasnosti žije v Portugalsku, kde dokončil svoj druhý magisterský titul v odbore dentálne lekárstvo, pracuje ako zubný lekár a ako konzultant pre estetické produkty a materiály pre dentálny priemysel a uplatňuje svoje klinické a vedecké znalosti pri vývoji nových a lepších dentálnych produktov.

Je autorom niekoľkých článkov na témy priamych estetických výplní a fotopolymerizácie, kde si dodnes udržuje svoju vedeckú činnosť. Je tiež autorom knižných kapitol z rovnakých odborov a spolupracuje na štúdiách s niekoľkými ďalšími inštitúciami po celom svete.



Odber newsletteru

Odoslať
Vaše osobné údaje budú spravované v súlade so Zásadami spracovania osobných údajov.

Kontakt

Ľudmily Podjavorinskej č. 1500, 022 01 Čadca
041/4331016, 4331017
hufa@hufa.sk
  • Instagram

Môj účet

  • Objednávky
  • Osobné údaje
  • Zľavy
  • Nastavenia
  • Vouchery

Kategórie

  • Ordinácia
  • Laboratórium
  • Akčné letáky
  • Katalógy
  • Blog

Užitočné info

  • Naši partneri
  • Osobné údaje
  • O nás
  • Nastavenie súkromia
  • Obchodné podmienky
  • Reklamácie
Copyright © 2022 Hu-Fa Dental a.s. Všetky práva vyhradené.
Czechdent
Vytvorila Poctivá agentúra.
Prevádzkované na ABRA Eshop.
Hu-Fa Dental
  • Ordinace
  • Laboratoř
  • Akční letáky
  • Katalogy
  • Blog
  • Travel
  • Vzdělávání
  • Absolventi
  • O nás
  • Nastavenie súkromia
  • Kontakty
  • Registrujte sa
  • Prihlásiť

Akceptujem Nastaviť

Princípy ochrany súkromia

Prispôsobujeme sa Vám na mieru. Na základe Vášho správania na webe personalizujeme jeho obsah a zobrazujeme Vám relevantné ponuky a produkty. Kliknutím na tlačidlo „Akceptujem“ súhlasíte aj s využívaním cookies a odovzdaním údajov o správaní na webe pre zobrazenie cielenej reklamy na sociálnych sieťach av reklamných sieťach na ďalších weboch.
Personalizáciu a cielenú reklamu si môžete podrobnejšie nastaviť alebo kedykoľvek vypnúť po kliknutí na tlačidlo „Nastaviť“.

Uložiť nastavenia Späť

Nastavenie súkromia

Zmeny nastavení sa prejavia iba pre prehliadač a zariadenia, ktoré práve používate.


Umožňuje základnú funkcionalitu webu ako jeho prehliadanie alebo prihlasovanie užívateľov


Tieto cookies sú využívané reklamnými a sociálnymi sieťami na úpravu zobrazovaných reklám tak, aby pre vás boli zaujímavé.


Marketigové cookies Google Ads

HUFA.CZ

Dovoľujeme si Vás upozorniť, že tieto stránky a informácie, ktoré obsahujú, sú určené iba pre odbornú stomatologickú verejnosť.

Pokračovaním v používaní týchto stránok potvrdzujete, že ste zdravotníckym odborníkom a že ste si vedomý (á) rizík, ktoré sú spojené s tým, že sa zoznámite s informáciami takto určenými pre prípad, že odborníkom nie ste


Zavřít